Протезирование зубов в Стоматология МС Екатеринбург
Восстанавливаем сильно разрушенные
и утраченные зубы.
Протезирование зубов — один из методов вернуть утраченные зубы, восстановить эстетичный вид улыбки и жевательные функции. Это дешевле имплантации, но по прежнему эффективно и востребованно. При необходимости проведем исследование движений челюстей в специальном приборе артикуляторе. Далее предлагается план лечения и протезирования с учетом ваших пожеланий.
В Стоматология МС мы делаем два вида протезирования зубов:
1. Несъемное протезирование — протез опирается на собственные ткани зуба или на имплантат.
2. Съемное протезирование при частичном или полном отсутствии зубов.
Для начала процедуры протезирования необходимо пройти диагностику:
1. Несъемное протезирование зубов.
Несъемные протезы позволяют полностью восстановить внешний вид и функцию сильно разрушенных зубов. К этой группе протезирования относятся коронки на зубы из различных материалов:
Металлокерамика из кобальтохромового сплава серого цветом и поэтому данные коронки обладают низкими эстетическими свойствами. Это не так важно в области дальних зубов, но существенно в линии улыбки так как они окрашивают десны в области коронки в серый цвет.
Среди безметалловых коронок, наиболее часто для протезирования используют коронки на оксиде циркония (ZrO), где каркасом коронки служит белый материал сравнимый по прочности с металлом.
Главными достоинствами данных коронок является их высокая прочность, отличная эстетика, абсолютная инертность к окружающим тканям в полости рта, срок службы данных коронок сравним со сроком службы самого зуба.
Прессованная керамика E-max и послойная керамика( рефрактор).
E-мах — это цельнокерамическая система с высоким содержание кристаллов лейцита в прессованной керамике, что существенно повышает ее прочность.
Керамический высокопрочный материал дисликат лития обладает прочностью на изгиб до 400 МПа и идеально подходит для изготовления монолитных анатомических реставраций.
Также в своей работе мы используем самый сложный в изготовлении , но самый эстетичный материал - послойную (рефракторную) керамику.Чаще всего этот тип реставрации используется при создании тонких виниров.
В зависимости от конкретной клинической ситуации врач-стоматолог подберет соответствующий цельнокерамический материал:
Частичная коронка или керамическая вкладка в соответствии с концепцией микропротезирования позволит сохранить максимальный объем живой ткани зуба.
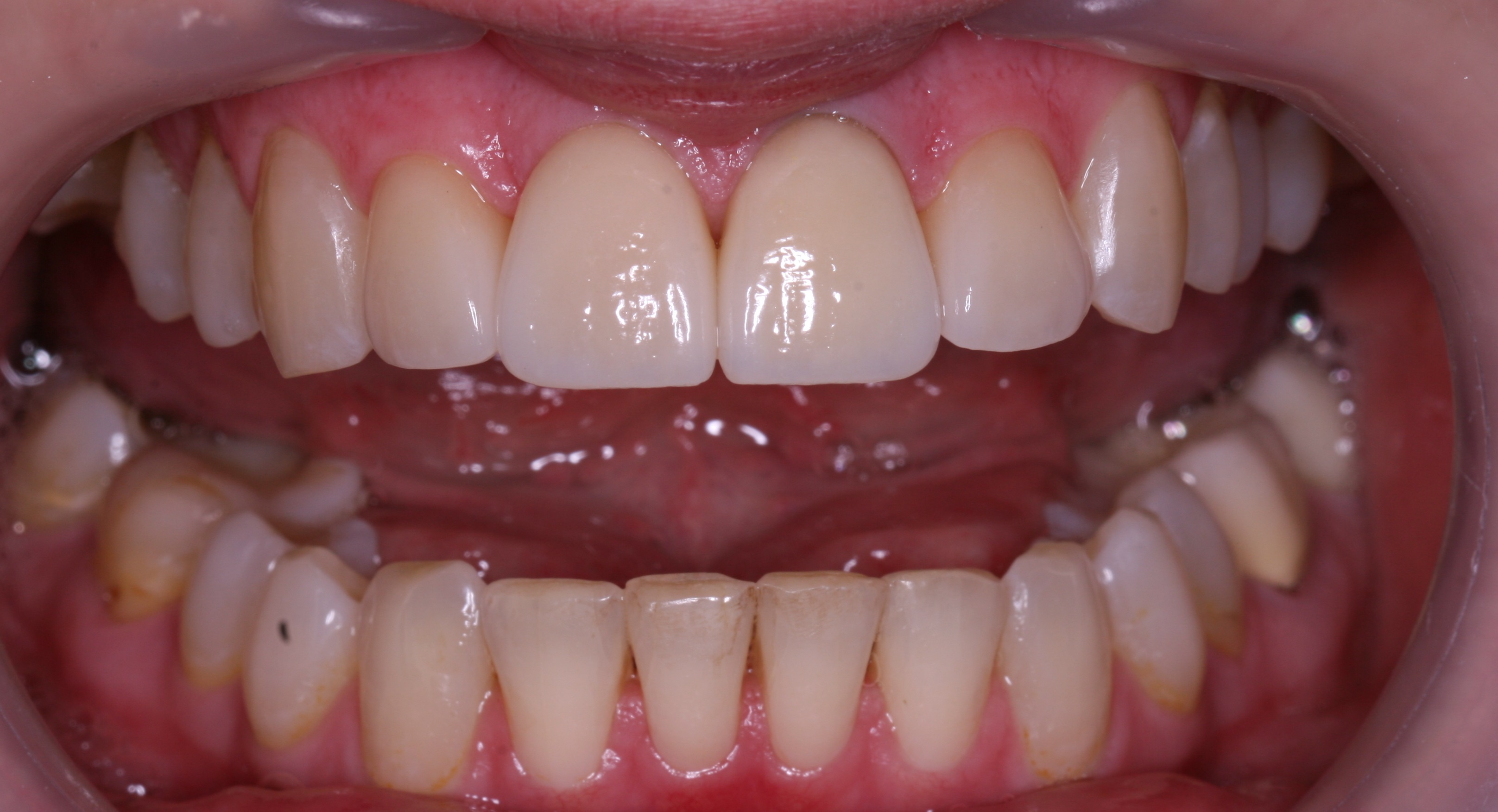
Примеры наших работ по восстановлению разрушенных зубов и эстетическому протезированию вы можете посмотреть в разделе наши работы.
|
Несъёмные конструкции с опорой на зуб
|
Стоимость, руб
|
|
Временная коронка 1ед. композитная
|
4 000
|
|
Металлокерамическая коронка 1ед.
|
от 25 000
|
|
Цельнокерамическая коронка, вкладка, по технологии IPS e.max 1ед.
(все включено) |
от 39 000
|
|
Коронка на основе диоксида циркония, с облицовкой керамикой 1 ед.
(все включено) |
от 39 000
|
| Винир рефрактор 1ед. |
от 55 000
|
Протезирование зубов с опорой на имплантат.
Один из самых современных способов протезирования при отсутствии зубов. Суть данного метода протезирования заключается в установке искусственного корня с последующей установкой на него коронки.
Преимущества данного метода:
Стоимость такого протезирования зависит от следующих характеристик:
|
Услуга |
Стоимость, руб |
|
Постоянная коронка на имплантат 1 ед |
от 45 000 |
2. Съемные зубные протезы.
На сегодняшний день с учетом уровня развития имплантации мы все реже сталкиваемся с необходимостью съемного протезирования зубов. Но если у пациента нет возможности провести несъемное протезирование, мы предлагаем два вида съемных протезов.
Первый вид съемного протезирования — это классические частичные съемные пластиночные протезы при отсутствии части зубов, а также при полном отсутствии зубов — полные съемные протезы. При данном виде протезирования весь протез изготавливается из специальной пластмассы.
Второй вид съемного протезирования — это бюгельные протезы, которые используются при частичном отсутствии зубов. Главное их отличие от пластиночных протезов — это использование металлической дуги вместо пластмассы, что позволяет легче адаптироваться к данным протезам.
|
Услуга
|
Стоимость, руб
|
|
|
|
|
— восстанавливающий от 1 до 3 зубов
|
от 25 000
|
|
— восстанавливающий от 4 до 10 зубов
|
от 45 000
|
|
— восстанавливающий от 11 до 14 зубов
|
от 55 000
|
|
|
|
|
Бюгельный протез с опорно — удерживающими кламмерами
|
от 75 000
|
Прайс-лист, размещенный на сайте, не полный и не является основанием для расчета.
